La ortodoncia no es dolorosa. Durante los primeros días, hasta que nos acostumbramos pueden aparecer molestias, pero casi nunca dolor.
Estas suelen ser molestias temporales que terminan desapareciendo a los pocos días.
Ortodoncia en Paracuellos del Jarama
Armonía en cada diente
Corrige y mejora tu sonrisa con nuestros tratamientos de ortodoncia, diseñados para ofrecerte resultados efectivos y personalizados.
Descubre nuestro tratamiento de ortodoncia en Paracuellos del Jarama
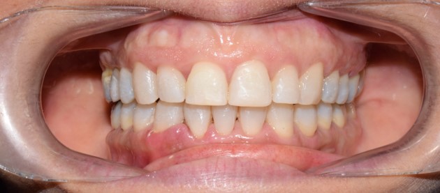
En Ortholine, ofrecemos tratamientos de ortodoncia diseñados para corregir la alineación de tus dientes de forma eficiente y personalizada. Contamos con opciones para todas las edades, desde niños hasta adultos, y adaptamos cada tratamiento según las necesidades individuales de cada paciente.
Nuestro equipo utiliza la última tecnología en ortodoncia, asegurando un proceso cómodo y resultados efectivos. Trabajamos para que obtengas una sonrisa alineada y saludable.
Además de mejorar la estética, la ortodoncia también tiene un impacto positivo en la salud bucal, ayudando a prevenir problemas futuros como caries y enfermedades de las encías. No esperes más para conseguir la sonrisa que mereces. ¡Visítanos y descubre cómo podemos ayudarte!
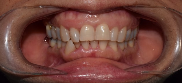
Nuestro equipo utiliza la última tecnología en ortodoncia, asegurando un proceso cómodo y resultados efectivos. Trabajamos para que obtengas una sonrisa alineada y saludable.
Además de mejorar la estética, la ortodoncia también tiene un impacto positivo en la salud bucal, ayudando a prevenir problemas futuros como caries y enfermedades de las encías. No esperes más para conseguir la sonrisa que mereces. ¡Visítanos y descubre cómo podemos ayudarte!

ORTHOLINE
Nuestros tratamientos de ortodoncia
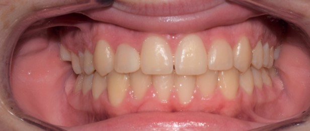
Existen diferentes métodos para conseguir los objetivos dentales tanto funcionales como estéticos que necesita cada paciente. Te aconsejaremos sobre el tratamiento más conveniente para cada caso. Nuestros tratamientos son:

Brackets metálicos
Es el tratamiento más clásico. Una de las técnicas más utilizada en relación calidad/precio, así como por su eficacia. Muy utilizados en niños y adolescentes.
Brackets autoligado
Sistema innovador altamente tecnológico que sustituye las gomas que sujetan el arco por tapas o clics. Esto reduce la fricción y se obtienen excelentes resultados con una considerable reducción del número de visitas y del tiempo de finalización del tratamiento.
Brackets estéticos
Brackets de última generación fabricados en materiales altamente estéticos. Es el tratamiento que eligen los pacientes que quieren reducir el impacto visual del aparato sin renunciar a eficacia.
Ortodoncia interceptiva
Consiste en interceptar el problema antes de que se establezca, como su propio nombre indica. Su función principal es corregir anomalías dentales, así como hábitos en periodos de crecimiento para prevenir problemas en la edad adulta.
ORTHOLINE
La última tecnología en tratamientos de ortodoncia en Paracuellos del Jarama

Ortodoncia invisible
Es el tratamiento más clásico. Una de las técnicas más utilizada en relación calidad/precio, así como por su eficacia. Muy utilizados en niños y adolescentes.
Consiste en una serie de alineadores o férulas transparentes prácticamente invisibles.
Estos tienen información incorporada que se transmite a los dientes de forma secuencial para proceder a su alineación.
Es un tratamiento de ortodoncia muy cómodo con una estética elevada, pasando prácticamente desapercibido.
